CBCT ที่ คอร์ เนอร์ คลินิก ทันตกรรม
CBCT ด้วย Acteon X-Mind Prime 2
ที่คอร์ เนอร์ คลินิก ทันตกรรม เราให้บริการ X-Ray เพื่อการรักษาทางทันตกรรม แบบครบวงจร ด้วยเครื่อง X-Ray จาก Acteon รุ่น X-Mind Prime 2 และ X-Mind Unity
ทำให้การดูแล รักษา สุขภาพฟัน ที่คอร์ เนอร์ คลินิก ทันตกรรม เป็นไปอย่างละเอียดรอบครอบ ครบถ้วน สมบรูณ์


CBCT (Cone Beam Computed Tomography) คือ เทคโนโลยีการเอกซเร์ 3 มิติ ที่มีความละเอียดสูง สามารถเห็นโครงสร้างช่องปากและฟันได้อย่างชัดเจน ที่จะช่วยให้การวินิจฉัย และวางแผนการรักษา ของทันตแพทย์แม่นยำยิ่งขึ้น
คอร์ เนอร์ คลินิก ทันตกรรม เราให้บริการ การ X-Ray แบบครบวงจร
การถ่ายภาพ X-Ray เพื่อการรักษาทางทันตกรรม โดยจะแบ่งอกกเป็น 2 ประเภท ได้แก่ การถ่ายภาพ X-Ray ในช่องปาก (Intraoral) เพื่อจะเห็นรายละเอียดของฟันแต่ละซี่และโครงสร้างรอบฟัน และ การถ่ายภาพ X-Ray นอกช่องปาก (Extraoral) เพื่อให้เห็นบริเวณกว้าง เช่น ขากรรไกร, ข้อต่อขากรรไกร, และโครงสร้างรอบ ๆ ใบหน้า
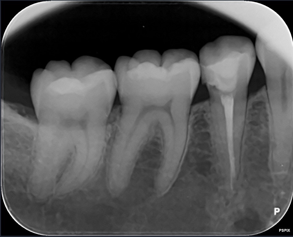
ภาพ X-Ray ในช่องปาก (Intraoral)
Periapical X-Ray (PA)
เพื่อดูฟันซี่ใดซี่หนึ่งโดยเฉพาะ ที่ คอร์ เนอร์ คลินิก ทันตกรรม จะไช้ประกอบการรักษาราก และอุดฟัน เป็นหลัก

Bitewing X-Ray (BW)
เพื่อดูด้านประชิดของฟัน

Occlusal X-Ray
เพื่อดูการสบฟัน และความผิดปกติของฟันบนและล่าง
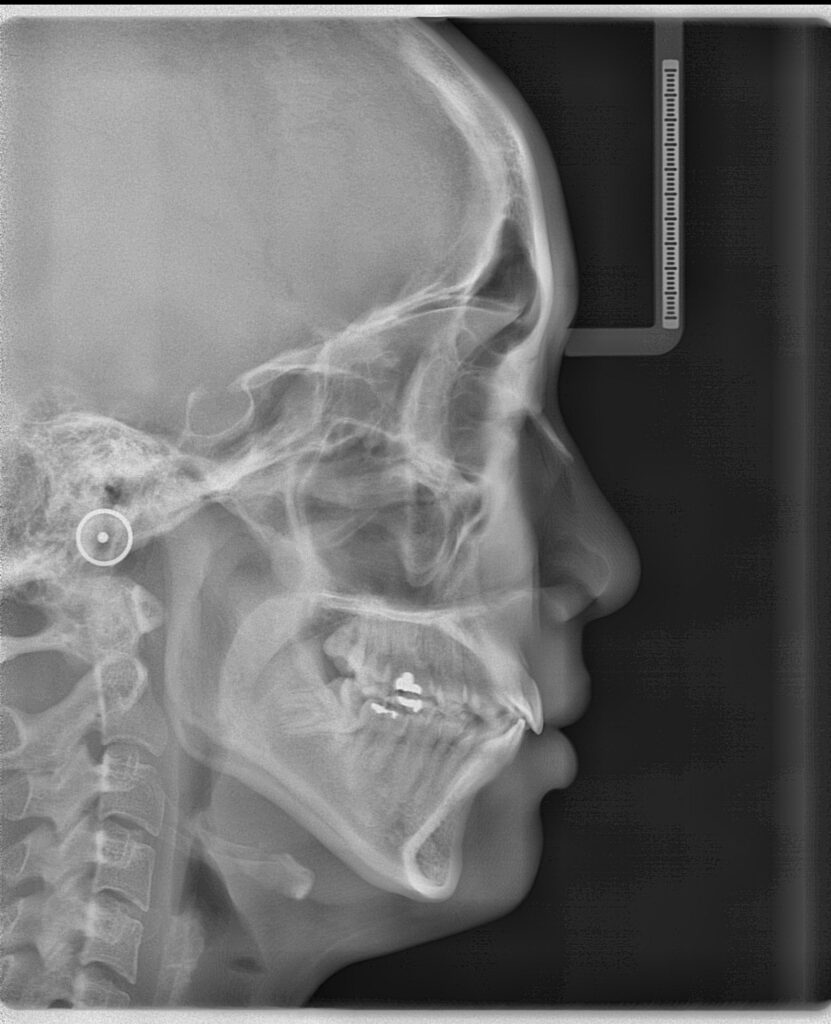
ภาพ X-Ray นอกช่องปาก (Extraoral)
Panoramic X-ray
เพื่อภาพรวมของฟันทั้งหมด

Cephalometric X-ray
เป็นภาพถ่ายด้านข้างศรีษะ ใช้ในการประเมินความสัมพันธ์ของฟันและโครงสร้างใบหน้า, โดยเฉพาะในการวางแผนการจัดฟัน








