ฟัน – ฟ ฟันสะอาดจัง
เวลาที่เราพูดถึงคำว่า ‘ฟัน’ ภาพที่นึกออกก็มักจะเป็นฟันสีขาวที่เราเห็นเวลาอ้าปากยิ้มออกมา แต่ความจริงแล้ว ฟันไม่ได้มีแค่ส่วนที่เราเห็น เวลายิ้มออกมาเท่านั้น ส่วนที่โผล่พ้นเหงือกขึ้นมา เราเรียกว่า ‘ตัวฟัน’ ซึ่งทำหน้าที่บด เคี้ยว และสร้างรอยยิ้มที่สวยงาม ขณะเดียวกันยังมีอีกส่วนหนึ่งซ่อนอยู่ใต้เหงือกที่คอยยึดเหนี่ยวและทำให้ตัวฟันมั่นคงแข็งแรง นั่นก็คือ ‘รากฟัน’
แต่ในบทความนี้ เราจะเน้นไปที่ ‘ตัวฟัน’ ที่เราเห็นกันทุกวัน ว่าอะไรคือสิ่งที่ทำให้ฟันแข็งแรงและสวยงาม เราจะดูแลรักษาอย่างไรให้ฟันคงทนไปได้นาน และหากวันหนึ่งฟันของเราสูญเสียความแข็งแรงไป จะเกิดอะไรขึ้นบ้าง สาเหตุคืออะไร รวมถึงแนวทางการรักษาที่สามารถช่วยให้รอยยิ้มกลับมาสวยได้อีกครั้ง
ส่วนประกอบของตัวฟัน
ตัวฟัน ที่เราเห็นสามารถมองเห็นเป็นสีขาวและเงางามนั้น แบ่งออกเป็นชั้นต่าง ๆ ได้ตามลักษณะและคุณสมบัติออกเป็น 3 ชั้น ได้แก่ เคลือบฟัน เนื้อฟัน และ โพรงประสาทฟัน
เคลือบฟัน (Enamel)
เคลือบฟัน เป็นชั้นนอกสุดของตัวฟัน โดยมีแคลเซียม และ ฟอสฟอรัส เป็นแร่ธาตุหลัก ที่รวมตัวกันจนมีลักษณะเป็นชั้นบาง ๆ กึ่งโปร่งใสสีขาว มีความแข็งที่สุดในร่างกายของเรา ที่มีความหนา ตั้งแต่ 0.5 – 2 มม. จึงทำให้เราเห็นว่าฟันของมีสีขาวปนปนเหลือง ไม่เสมอกัน (สีเหลืองมาจากสีของเนื้อฟัน)
เนื้อฟัน (Dentin)
เนื้อฟัน เป็นเนื้อเยื่อแข็งสีเหลืองที่อยู่ถัดจากชั้นเคลือบฟัน ซึ่งประกอบด้วยท่อเล็ก ๆ จำนวนมากที่เชื่อมต่อระหว่างเคลือบฟันกับโพรงประสาทฟัน ทำหน้าที่เป็นโครงสร้างของตัวฟัน ซึ่งถ้าหากสิ่งเร้าจากภายนอกสามารถสัมผัสกับชั้นเนื้อฟันได้โดยตรงจะทำให้เรารู้สึกเสียว หรือปวดฟันได้
โพรงประทาสฟัน (Pulp)
โพรงประสาทฟัน เป็นเนื้อเยื่ออ่อนที่อยู่ในสุดของฟัน โดยมีเส้นเลือดและเส้นประสาททำหน้าที่หล่อเลี้ยงเนื้อฟัน

เมื่อเคลือบฟันมีปัญหา
ถึงแม้เคลือบฟันจะเป็นสิ่งที่แข็งแรงที่สุดในร่างกายของเรา แต่ก็ไม่ได้หมายความว่ามันจะไม่บุบสลาย เคลือบฟันสามารถสูญเสียความแข็งแรงได้จากการสูญเสียแร่ธาตุในฟัน จนเกิดปัญหาฟันผุ
ปัญหาอื่น ๆ ของฟันที่พบบ่อย
นอกจากฟันผุแล้ว ยังมีปัญหาอีกหลายอย่างที่สามารถทำให้ตัวฟันสูญเสียความแข็งแรงได้ ซึ่งหากปล่อยทิ้งไว้โดยไม่ได้รับการดูแล ก็อาจลุกลามไปถึงโพรงประสาทฟันและรากฟันในที่สุด
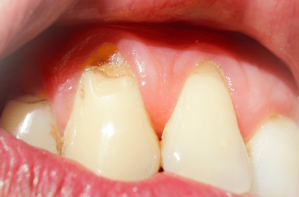
ฟันสึกกร่อน
ฟันสึกกร่อน หมายถึง การสูญเสียเนื้อฟันอย่างค่อยเป็นค่อยไป มักเกิดจากพฤติกรรมการกัดฟันหรือนอนกัดฟัน รวมถึงการสัมผัสกับกรดจากอาหารและเครื่องดื่ม เช่น น้ำอัดลม กาแฟ หรือน้ำผลไม้รสเปรี้ยว เมื่อเนื้อฟันสึกมากขึ้น เคลือบฟันจะบางลงจนเห็นสีเหลืองของเนื้อฟัน ส่งผลให้ฟันไวต่อความรู้สึกและแตกหักได้ง่าย ตัวอย่างที่พบบ่อยคือ ฟันสึกเป็นร่องบริเวณคอฟัน

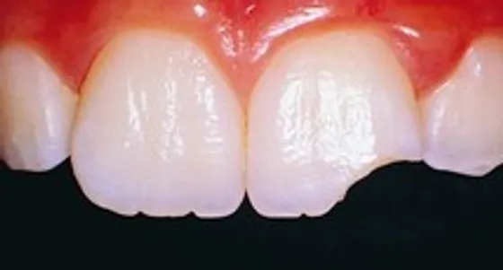
ฟันแตกหรือบิ่น
สาเหตุอาจมาจากอุบัติเหตุ การกัดของแข็ง เช่น กระดูกแข็ง ๆ หรือการใช้ฟันผิดวิธี เช่น กัดเปิดขวด เมื่อฟันแตกหรือบิ่น แม้เพียงเล็กน้อยก็มักสร้างช่องทางให้เชื้อโรคเข้าสู่โพรงประสาทฟัน และอาจทำให้เกิดการอักเสบตามมา

ฟันเปลี่ยนสีและความสวยงามที่ลดลง
แม้จะไม่กระทบการบดเคี้ยวโดยตรง แต่ฟันที่เปลี่ยนสีหรือบิ่นเล็กน้อยก็ส่งผลต่อบุคลิกภาพ และความมั่นใจของเรา ซึ่งปัญหาเล็ก ๆ เหล่านี้ หากปล่อยไว้นานก็อาจลุกลามจนกระทบต่อสุขภาพฟันโดยรวมได้เช่นกัน
การรักษาฟันสึก แตกหรือบิ่น
ในกรณีตัวฟันมีปัญหาเล็กน้อย เช่น ฟันบิ่นเล็กน้อย คอฟันสึก (ไม่ถึงเนื้อฟัน) ทันตแพทย์อาจอุดหรือขัดแต่งฟัน แต่ถ้าหากฟันปิ่นหรือแตกมาก (ที่ถึงเนื้อฟัน แต่ยังไม่ถึงโพรงประสาทฟัน) อาจต้องครอบฟัน และหากรุนแรงถึงโพรงประสาท อาจจำเป็นต้องรักษารากฟัน
สำหรับผู้ที่มีปัญหาฟันสึกจากการกัดฟัน ทันตแพทย์อาจแนะนำให้ใส่ เฝือกสบฟันหรือนายท์การ์ด (night guard) เพื่อลดแรงบดเคี้ยวในเวลากลางคืน

สำหรับการรักษาสีฟันที่เปลี่ยน
หากฟันเปลี่ยนสีเล็กน้อย อาจแก้ไขด้วยการอุดฟันเสริมสีเหมือนฟัน (composite bonding) เพื่อความสวยงาม
แต่ถ้าฟันเปลี่ยนสีมากขึ้น สามารถทำการฟอกสีฟัน หรือในบางกรณีอาจทำการเคลือบฟันด้วยวัสดุเสริม เช่น วีเนียร์ เพื่อให้รอยยิ้มกลับมาขาวสวยตามต้องการ
เมื่อปัญหาลุกลามไปถึงรากฟัน
หากปัญหาต่าง ๆ ไม่ได้รับการรักษาแต่เนิ่น ๆ ความเสียหายจะลึกลงไปถึงโพรงประสาทฟันและรากฟัน ทำให้เกิดการติดเชื้อ ปวดฟันรุนแรง หรือสูญเสียฟันไปในที่สุด การดูแลรักษาฟันตั้งแต่ระยะเริ่มต้นจึงเป็นเรื่องสำคัญ เพื่อป้องกันไม่ให้ต้องเข้ารับการรักษาที่ซับซ้อน เช่น การรักษารากฟัน หรือการทำรากฟันเทียม
