| |

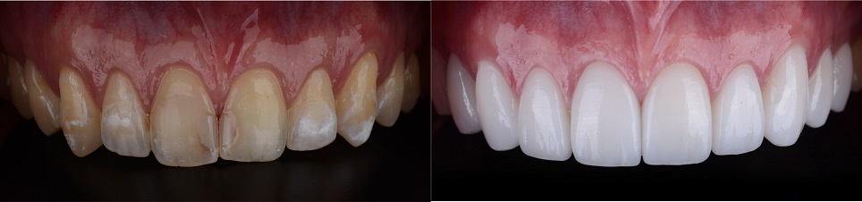
วีเนียร์: ทางเลือกเพื่อรอยยิ้มที่สมบูรณ์แบบ

รอยยิ้มที่สวยงามเป็นสิ่งที่หลายคนต้องการ แต่ปัญหาฟันเหลือง ฟันบิ่น ฟันห่าง หรือรูปร่างฟันที่ไม่สมบูรณ์ อาจส่งผลต่อความมั่นใจ วีเนียร์จึงเป็นหนึ่งในทางเลือกด้านทันตกรรมที่ได้รับความนิยม ช่วยปรับปรุงรอยยิ้มให้ดูสวยงามและเป็นธรรมชาติ

วีเนียร์คืออะไร และเหมาะกับใคร?

วีเนียร์ (Dental Veneer) คือแผ่นบางที่ทำจากวัสดุเซรามิกหรือคอมโพสิต ติดบริเวณด้านหน้าของฟันเพื่อแก้ไขปัญหาทางด้านความงาม วีเนียร์เหมาะสำหรับผู้ที่มีปัญหาต่อไปนี้

  • สีฟันผิดปกติ เช่น ฟันเหลือง ฟันดำ หรือฟันคล้ำที่การฟอกสีฟันไม่สามารถแก้ไขได้
  • รูปร่างฟันไม่สวยงาม เช่น ฟันบิ่น ฟันเล็ก หรือฟันกระต่าย
  • ฟันห่างหรือมีช่องว่างระหว่างฟัน
  • ฟันไม่เรียงตัวดี หรือฟันไม่เท่ากัน

ประเภทของวีเนียร์

วีเนียร์มี 2 ประเภทหลัก ได้แก่

เซรามิกวีเนียร์

  • ทำจากวัสดุเซรามิกคุณภาพสูง
  • แข็งแรง ทนทาน อายุการใช้งาน 10-15 ปี
  • เงางามและโปร่งแสงคล้ายฟันธรรมชาติ
  • ไม่ดูดซับสีจากอาหารและเครื่องดื่ม

คอมโพสิตวีเนียร์

  • ทำจากวัสดุเรซินคอมโพสิต
  • ราคาถูกกว่าเซรามิกวีเนียร์
  • อายุการใช้งานสั้นกว่า
  • อาจเปลี่ยนสีได้เมื่อเวลาผ่านไป
ข้อควรระวัง: อาหารและเครื่องดื่มที่มีสีเข้ม เช่น กาแฟ ชา หรือไวน์แดง อาจทำให้คอมโพสิตวีเนียร์เปลี่ยนสีได้

ขั้นตอนการทำวีเนียร์

การทำวีเนียร์โดยทั่วไปจะเข้าพบทันตแพทย์ประมาณ 2-3 ครั้ง

1. การวางแผนการรักษา

  • ปรึกษาทันตแพทย์เกี่ยวกับความต้องการและตรวจสุขภาพช่องปาก
  • ถ่ายภาพก่อนทำ X-ray และพิมพ์ฟันเพื่อวางแผนการรักษา

2. การเตรียมฟันและพิมพ์ฟัน

  • กรอผิวฟันออกเล็กน้อย (0.5-1 มิลลิเมตร)
  • พิมพ์ฟันและเลือกสีวีเนียร์ที่เหมาะสม
  • ส่งแบบพิมพ์ไปยังห้องแล็บและใส่วีเนียร์ชั่วคราว

2. การติดวีเนียร์

  • เมื่อลำเลียงวีเนียร์กลับมาจากห้องแล็บ ทันตแพทย์จะตรวจสอบความพอดี
  • ติดวีเนียร์ด้วยกาวทางทันตกรรมพิเศษ
  • นัดติดตามผลภายใน 1-2 สัปดาห์

การดูแลรักษาวีเนียร์

  • แปรงฟันวันละ 2 ครั้ง ด้วยยาสีฟันที่ไม่มีฤทธิ์กัดกร่อน
  • ใช้ไหมขัดฟันเป็นประจำ
  • หลีกเลี่ยงการกัดของแข็ง เช่น น้ำแข็ง หรือถั่วเปลือกแข็ง
  • หากมีนิสัยนอนกัดฟัน ควรใส่เฝือกสบฟัน
  • พบทันตแพทย์เพื่อตรวจสุขภาพฟันทุก 6 เดือน

ฟันผุใต้วีเนียร์ เกิดจากอะไร?

ปัญหาขณะติดวีเนียร์

วัสดุไม่แนบสนิท ทำให้แบคทีเรียเข้าไปสะสม
การเตรียมผิวฟันไม่สะอาดพอ

การดูแลสุขภาพช่องปากไม่ดี

แปรงฟันและใช้ไหมขัดฟันไม่ทั่วถึง
ขาดการตรวจสุขภาพฟันเป็นประจำ

ปัจจัยจากร่างกาย

บางคนมีน้ำลายที่เป็นกรดสูง ทำให้ฟันผุง่ายขึ้น
หากเกิดฟันผุใต้วีเนียร์ ควรปรึกษาทันตแพทย์เพื่อตรวจสอบและหาวิธีแก้ไข

คำถามที่พบบ่อยเกี่ยวกับวีเนียร์

เซรามิกวีเนียร์อยู่ได้ 10-15 ปี หรือมากกว่านั้นหากดูแลดี ส่วนคอมโพสิตวีเนียร์มีอายุการใช้งานสั้นกว่า อยู่ที่ประมาณ 5-10 ปี

ควรพบทันตแพทย์ทันที หากบิ่นเล็กน้อย อาจซ่อมแซมได้ แต่หากเสียหายมาก อาจต้องเปลี่ยนใหม่

วีเนียร์ไม่สามารถฟอกสีได้ ดังนั้น ควรฟอกสีฟันก่อนทำวีเนียร์

อาจมีอาการเสียวฟันในช่วงแรก แต่จะหายไปภายใน 1-2 สัปดาห์


วีเนียร์เป็นวิธีที่ช่วยให้รอยยิ้มดูสวยงามอย่างเป็นธรรมชาติ โดยไม่ต้องสูญเสียเนื้อฟันมากเหมือนครอบฟัน การเลือกประเภทของวีเนียร์และทันตแพทย์ที่มีความเชี่ยวชาญเป็นปัจจัยสำคัญ เพื่อให้ได้ผลลัพธ์ที่ดีที่สุด

ก่อนตัดสินใจทำวีเนียร์ ควรปรึกษาทันตแพทย์เพื่อประเมินความเหมาะสมของสภาพฟัน รวมถึงศึกษาวิธีการดูแลรักษาเพื่อให้วีเนียร์มีอายุการใช้งานยาวนาน และช่วยเสริมสร้างความมั่นใจในรอยยิ้มของคุณ

บทความอื่นๆ

  • | |

    สีฟัน: จากความเชื่อโบราณสู่ค่านิยมปัจจุบัน

    บทความนี้นำเสนอเรื่องราวเกี่ยวกับสีฟันในมุมมองต่างๆ ตั้งแต่อดีตจนถึงปัจจุบัน โดยครอบคลุมประเด็นสำคัญดังนี้: ความเชื่อเรื่องสีฟันในอดีต ในอดีต ชาวไทยมีความเชื่อว่าฟันดําหรือฟันสีนิลเป็นสิ่งที่สวยงามและแสดงถึงความแข็งแรงของฟัน การมีฟันดําถือเป็นสิ่งที่พึงปรารถนา ดังปรากฏในวรรณคดีไทยที่มักชมความงามของฟันดําว่า “พิศฟันรันเรียงเรียบ เป็นระเบียบเปรียบแสงนิล”ชาวไทยในสมัยก่อนมีวิธีการทําให้ฟันดําด้วยการเคี้ยวหมาก ซึ่งนอกจากจะทําให้ฟันมีสีดําแล้ว ยังเชื่อว่าช่วยรักษาสุขภาพช่องปากอีกด้วย การเปลี่ยนแปลงความนิยมสู่ฟันขาว ความนิยมฟันดําเริ่มเปลี่ยนแปลงในสมัยรัชกาลที่ 5 เมื่อมีการติดต่อกับชาวตะวันตกมากขึ้น พระบาทสมเด็จพระจุลจอมเกล้าเจ้าอยู่หัวทรงเริ่มขัดพระทนต์ให้ขาวตามแบบฝรั่งเมื่อเสด็จประพาสยุโรปครั้งแรกในปี พ.ศ. 2440ต่อมาในสมัยรัชกาลที่ 6 ความนิยมฟันขาวยิ่งชัดเจนขึ้น โดยพระบาทสมเด็จพระมงกุฎเกล้าเจ้าอยู่หัวทรงประกาศว่า “ทรงนิยมฟันขาวและชังคนฟันดํา” เทรนด์สีฟันในปัจจุบัน ปัจจุบัน ฟันขาวเป็นที่นิยมอย่างแพร่หลาย โดยเฉพาะในกลุ่มวัยรุ่นและคนทํางาน การจัดฟันกลายเป็นเทรนด์ยอดนิยม และสียางจัดฟันก็มีส่วนช่วยเสริมบุคลิกภาพ สีฟันตามธรรมชาติ สีฟันตามธรรมชาติมีความหลากหลายและไม่จำเป็นต้องเป็นสีขาวสว่างเสมอไป โดยทั่วไปแล้ว สีฟันธรรมชาติมีตั้งแต่สีขาวอมเทาไปจนถึงสีขาวอมเหลือง ปัจจัยที่กำหนดสีฟันตามธรรมชาติมีดังนี้: สีฟันที่พบบ่อยตามธรรมชาติคือสีเหลืองอ่อน ซึ่งไม่ได้หมายความว่าฟันไม่แข็งแรง แต่กลับเป็นสัญญาณของฟันที่แข็งแรงและมีการป้องกันที่ดี การดูแลและพิจารณาฟอกสีฟัน ก่อนพิจารณาฟอกสีฟัน ควรเข้าใจว่าสีฟันตามธรรมชาติไม่จำเป็นต้องขาวสว่าง…

  • |

    รากฟันเทียม ทางเลือกคืนรอยยิ้มที่มั่นใจ

    อีกประเภทของการทำทันตกรรมที่สามารถพบเจอได้บ่อยมากนั่นคือ การทำ “รากฟันเทียม” ซึ่งหลายคนอาจยังมีข้อสงสัยอยู่ว่ารากฟันเทียม คืออะไร รากฟันเทียม คือ วัสดุทางทันตกรรมประเภทหนึ่งซึ่งถูกนำมาใช้ทดแทนรากฟันจริงที่สูญเสียไป ผลิตจากวัสดุกลุ่มไทเทเนียมหรือเซรามิก โดยทันตแพทย์จะทำการฝังลงไปเพื่อให้ตัวรากเทียมยึดติดเข้ากับกระดูกขากรรไกรแบบถาวร หรือใช้เทคนิคการวางเหนือกระดูกขากรรไกรใต้เหงือก ซึ่งรากฟันเทียมสามารถทำหน้าที่ได้ใกล้เคียงรากฟันจริงพร้อมสร้างผลลัพธ์ที่ดีแทบไม่แตกต่างกัน ดังนั้นจึงเป็นอีกหนึ่งทางเลือกของการทำฟันปลอมที่ได้ผลลัพธ์เป็นธรรมชาติ ทนทาน และสะดวกสบาย ปัจจุบันรากฟันเทียมที่ทันตแพทย์รักษาให้กับคนไข้จะแบ่งออกเป็น 3 ประเภท ซึ่งมีความแตกต่างกันตามลักษณะอาการที่เกิดขึ้น ดังนี้ รากฟันเทียม 1 ซี่ เป็นการทำรากฟันเทียมเพียงแค่ซี่เดียวสำหรับผู้ที่มีปัญหาสูญเสียฟันถาวรแค่ซี่เดียว ซึ่งอาจเกิดจากอุบัติเหตุ ฟันผุ โรคปริทันต์ เมื่อรักษาเรียบร้อยจะรู้สึกดูเป็นธรรมชาติใกล้เคียงกับฟันจริง ใช้งานได้ตามปกติ เช่น การบดเคี้ยวอาหาร การพูด การแปรงฟัน การใช้ไหมขัดฟัน รากฟันเทียมหลายซี่ การทำรากฟันเทียมพร้อมกันหลายซี่สำหรับผู้มีปัญหาสูญเสียฟันหลายจุด ทันตแพทย์มักใช้วิธีทำครอบฟันไว้บนรากเทียมจึงต้องใช้วิธียึดติดกับฟันซี่ข้าง ๆ ช่วยให้ฟันซี่อื่นที่ไม่เสียหายยังคงใช้งานได้ตามปกติ เช่น คนไข้มีการสูญเสียฟัน 3 ซี่ติดกัน ทันตแพทย์จะทำรากฟันเทียม…

  • |

    รากฟัน – ส่วนสำคัญที่ซ่อนอยู่ใต้เหงือก

    เวลาที่เราพูดถึงคำว่า “ฟัน” ภาพที่หลายคนนึกออกมักเป็นฟันสีขาวเรียงตัวสวย ที่เห็นเวลายิ้มออกมา แต่รู้ไหมว่า ฟันของเรายังมีอีกส่วนหนึ่งที่สำคัญไม่แพ้กัน เพียงแค่ซ่อนตัวอยู่ใต้เหงือกเท่านั้นเอง ส่วนที่ว่านี้คือ “รากฟัน” (Tooth Root) — ตัวเล็ก ๆ ที่คอยยึดให้ฟันของเรามั่นคงอยู่ในที่ของมัน ถ้าจะเปรียบให้เห็นภาพง่าย ๆ รากฟันก็เหมือน “รากไม้” ที่แผ่กระจายอยู่ใต้ดิน คอยยึดลำต้นให้ตั้งมั่นแข็งแรง ฟันของเราก็เช่นกัน หากไม่มีราก ฟันก็จะไม่สามารถยึดติดอยู่กับขากรรไกรได้แน่น และคงอยู่กับเราได้ยาวนานอย่างทุกวันนี้ ส่วนประกอบของรากฟัน ถึงแม้เราจะมองไม่เห็นรากฟัน แต่ภายในก็มีโครงสร้างที่ซับซ้อนและน่าทึ่งมากทีเดียว ซีเมนต์เคลือบรากฟัน (Cementum) เป็นชั้นคล้ายเคลือบฟัน แต่บางกว่าและมีสีเหลือง ทำหน้าที่หุ้มรากฟัน ช่วยให้เอ็นยึดฟัน (periodontal ligament) เกาะติดกับกระดูกขากรรไกรได้แน่น เอ็นยึดฟัน (Periodontal ligament)…

  • ฟันผุ: เรื่องเล็กๆ ที่ไม่ควรมองข้าม

    ฟันผุเป็นปัญหาสุขภาพช่องปากที่พบบ่อยในทุกช่วงวัย แม้จะดูเหมือนเป็นเรื่องเล็กน้อย แต่หากปล่อยไว้โดยไม่ได้รับการดูแล อาจนำไปสู่ปัญหาสุขภาพที่รุนแรงขึ้นได้ ฟันผุเกิดจากแบคทีเรียในช่องปากที่ทำปฏิกิริยากับน้ำตาลและแป้งในอาหาร ก่อให้เกิดกรดที่ทำลายเคลือบฟันและเนื้อฟัน ส่งผลให้เกิดรูหรือโพรงในฟัน สาเหตุของฟันผุ ระยะของฟันผุ ฟันผุสามารถแบ่งออกเป็นหลายระยะตามลำดับของการทำลายฟัน ซึ่งแต่ละระยะจะมีลักษณะและการรักษาที่แตกต่างกัน ดังนี้: วิธีป้องกันฟันผุ แม้ว่า “ฟันผุ” อาจดูเหมือนเป็นเรื่องเล็ก แต่ถ้าหากปล่อยทิ้งไว้นานจนเกินไป จากฟันผุระยะเริ่มต้นที่ชั้นเคลือบฟันเล็ก ๆ ก็อาจจะลามไปจนถึงชั้นเนื้อฟัน ที่มีอาการปวดเล็ก ๆ เป็นสัญญาเตือน ให้รีบทำการดูแลรักษาง่าย ๆ ด้วยการอุดฟัน แต่ถ้าหากยังปล่อยทิ้งใว้ให้อาการปวดจะค่อย ๆ เพิ่มความรุนแรงมาก และฟันมีการผุลุกลามต่อจนถึงไปถึงโพรงประสาท ซึ่งอาจจะก่อให้เกิดโรคหัวใจ การรักษาก็จะไม่ใช่เพียงแค่การอุดฟันเพียงเท่านั้น แต่จะเป็นการรักษาด้วยการรักษารากฟัน ซึ่งใช้ระยะเวลารักษานานกว่าการอุดฟันธรรมดา ๆ หลายเท่าตัว

  • |

    การจัดฟัน – แบบติดแน่น vs แบบใส

    การจัดฟัน เป็นหนึ่งในวิธีรักษาทางทันตกรรมสำหรับคนไข้ที่มีปัญหาการเรียงตัวของฟัน เช่น ฟันยื่น ฟันห่าง ฟันซ้อนเก หรือการสบฟันที่ผิดปกติ ไม่ว่าจะเป็นสบลึก สบเปิด หรือสบคร่อม การจัดฟันสามารถช่วยให้ฟันกลับมาเรียงตัวสวยงาม รอยยิ้มสดใส และเพิ่มความมั่นใจได้อีกครั้ง ปัจจุบันมีวิธีการจัดฟันให้เลือกหลากหลาย ขึ้นอยู่กับความต้องการและไลฟ์สไตล์ของคนไข้ โดยหลัก ๆ แบ่งออกเป็น การจัดฟันแบบติดแน่น และ การจัดฟันแบบใส ซึ่งแต่ละวิธีก็มีจุดเด่นแตกต่างกันออกไป การจัดฟันแบบติดแน่น การจัดฟันแบบติดแน่น เป็นวิธีที่ได้รับความนิยมมากที่สุดและถูกใช้อย่างแพร่หลายมายาวนาน โดยทันตแพทย์จะติดเครื่องมือจัดฟัน ได้แก่ แบร็กเก็ต ลวดจัดฟัน และยางหรือกลไกช่วยยึด ไว้บนผิวฟันตลอดระยะเวลาที่ทำการรักษา ข้อดีคือสามารถควบคุมการเคลื่อนที่ของฟันได้ละเอียดและแม่นยำ เหมาะกับคนไข้ที่มีปัญหาการเรียงตัวของฟันในหลายรูปแบบ ตั้งแต่ปัญหาเล็กน้อยไปจนถึงซับซ้อน แม้ว่าจะต้องดูแลเรื่องการทำความสะอาดช่องปากเพิ่มขึ้น แต่การจัดฟันแบบติดแน่นก็ยังเป็นทางเลือกที่คุ้มค่า เพราะมีหลายรูปแบบให้เลือก ทั้งที่เน้นความแข็งแรง ความสวยงาม หรือความสะดวกในการใช้งาน 1. การจัดฟันโลหะ (Metal Braces) หรือที่เรียกกันว่า การจัดฟันเหล็ก เป็นวิธีที่ได้รับความนิยมมากที่สุด โดยเฉพาะในหมู่วัยรุ่น ทันตแพทย์จะติดแบร็กเก็ต…

  • รู้จักฟัน: กุญแจสำคัญสู่สุขภาพช่องปากที่ดี

    ฟันเป็นอวัยวะสำคัญที่หลายคนอาจมองข้าม แต่ในความเป็นจริงแล้ว ฟันมีบทบาทสำคัญในชีวิตประจำวันของเรา ทั้งในด้านการบดเคี้ยวอาหาร การช่วยในการออกเสียง และการเสริมสร้างบุคลิกภาพให้ดูดี นอกจากนี้ ฟันยังเป็นส่วนหนึ่งของระบบร่างกายที่เชื่อมโยงกับสุขภาพโดยรวม หากฟันหรือช่องปากเกิดปัญหา เช่น ฟันผุ หรือโรคเหงือก อาจส่งผลกระทบต่อสุขภาพร่างกายได้ เช่น การติดเชื้อ หรือโรคหัวใจ การดูแลสุขภาพฟันให้แข็งแรงเริ่มต้นจากการทำความเข้าใจโครงสร้างของฟัน เพราะเมื่อเรารู้จักฟันของเราดีแล้ว เราจะสามารถระบุสาเหตุของปัญหาที่เกิดขึ้น เช่น ฟันผุ เหงือกอักเสบ หรือปัญหารากฟันได้อย่างถูกต้อง และสามารถเลือกวิธีการดูแลหรือรักษาได้อย่างเหมาะสม ดังนั้น การเรียนรู้เกี่ยวกับโครงสร้างและหน้าที่ของฟันจึงเป็นสิ่งสำคัญที่ทุกคนควรให้ความสนใจ โครงสร้างของฟันแบ่งออกเป็นสองส่วนหลัก ได้แก่ ตัวฟัน และ รากฟัน โดยแต่ละส่วนมีหน้าที่และความสำคัญเฉพาะตัว ดังนี้: การเข้าใจโครงสร้างและหน้าที่ของแต่ละส่วนในฟันช่วยให้เราตระหนักถึงความสำคัญของการดูแลรักษาฟันอย่างถูกวิธี เช่น การแปรงฟัน การใช้ไหมขัดฟัน และการตรวจสุขภาพช่องปากเป็นประจำ เพราะหากเรารู้จักโครงสร้างของฟันดีพอ เราจะสามารถระบุปัญหาสุขภาพช่องปากได้ตั้งแต่เนิ่นๆ…